Google Rating
5.0
Google Rating
adult patient before invisalign treatment with narrow dental arch and misaligned teeth in fareham

Before

adult patient after invisalign treatment improving smile width and alignment in fareham

After

narrow dental arch and crowded teeth before invisalign treatment in adult patient fareham

Before

adult patient after invisalign treatment widening dental arch and improving alignment in fareham

After

Adult Invisalign – Crowded Teeth Before & After

Adult Invisalign – Crowded Teeth Before & After Crowding and Narrow Smile Corrected…

LEARN MORE
adult patient before spark aligner treatment for crooked teeth and narrow dental arch in fareham

Before

adult patient after spark aligner orthodontic treatment correcting crooked teeth and narrow arch

After

crooked teeth and narrow dental arch before spark aligner orthodontic treatment

Before

straightened teeth after spark aligner orthodontic treatment for crooked teeth

After

Adult Clear Aligners – Crowded Teeth and Crossbite Before & After

Adult Clear Aligners – Crowded Teeth and Crossbite Before & After Crowding and…

LEARN MORE
adult patient before spark aligners treatment with narrow smile and crooked lower teeth in fareham

Before

adult patient after spark aligners treatment improving smile width and alignment in fareham

After

crooked lower teeth and narrow smile before spark aligner treatment in adult patient fareham

Before

adult patient after spark aligners treatment correcting crooked lower teeth and narrow smile in fareham

After

Adult Clear Aligners – Lower Incisor Crowding Before & After

Adult Invisalign – Lower Incisor Crowding Before & After Crowded Lower Teeth and…

LEARN MORE
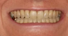
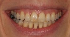
adult patient before spark aligners treatment for crooked teeth and worn down teeth in fareham

Before

adult patient after spark aligners treatment and composite bonding restoring worn teeth in fareham

After

crooked and worn teeth before spark aligners orthodontic treatment in adult patient fareham

Before

adult patient after spark aligners treatment and composite bonding restoring worn teeth in fareham

After

Adult Clear Aligners – Crowding and Overbite Before & After

Adult Clear Aligners – Crowding and Overbite Before & After Tooth Alignment and…

LEARN MORE
adult patient before spark aligners treatment with open bite crossbite and moderate crowding in fareham

Before

adult patient after spark aligners treatment correcting open bite and crossbite in fareham

After

open bite crossbite and crowded teeth before spark aligner treatment in adult patient fareham

Before

adult patient after spark aligners treatment correcting open bite crossbite and crowding in fareham

After

Adult Clear Aligners – Crowding and Crossbite Before & After

Adult Clear Aligners – Crowding and Crossbite Before & After Crowding, Narrow Smile…

LEARN MORE

Get in touch

instagram