I had a thoroughly positive experience with Angus. I am very happy with the results of my orthodontic treatment, and Angus was incredibly supportive and accessible throughout the entire process.
For once in my life, I love my smile and it’s all thanks to Angus. He was very professional and always listened to what I had to say. He gave me the best advice and it really paid off! I always get compliments on my “lovely smile” and I just can’t thank Angus enough!
Angus and Alice are a lovely team. They are both kind and welcoming, I always felt it was a safe place to be honest about my concerns and expectations. I’d highly recommend Angus for orthodontic treatment, he has extensive experience and is very empathic in his approach.
Fantastic from start to finish. I would highly recommend Angus and the team. Just completed my treatment, supported at every stage.Super friendly, everything throughly explained and able to ask any questions throughout the process.Thank you Angus & Alice 😁
I was directed to Angus after a truly awful experience with my previous orthodontist, who did not listen to mine and my mum's concerns and were terrible at communicating effectively and engaging with me as a patient. Angus understood my situation very quickly and was genuinely empathetic to the previous experience I had received. He put me at ease and asked me what I needed to ensure that the process was comfortable and as stress-free as possible. I'm also 17 and autistic, which makes my situation very different and unique to the standard patient's. At no point did he point this out and make me feel like a burden on him as a clinician. While this was a initial consultation, I am very impressed so far.
I am a 1966 baby and have just completed my Sparks aligner treatment with Angus. I was never too bothered that one side of my bottom row of teeth were woggely as you didn’t really see them when I smiled. However, I’m a bit of a teeth flosser and I found it difficult to properly clean these offending teeth. This and that I needed an implant next to these woggely teeth, made up my mind to get it done.Angus’ gift, is that he’s not only a technically skilled orthodontist but he also has a great bed side manner. He’s very good at explaining the process and putting you at ease. I liked that he was very honest about what to expect - the ups and downs and not over promising on how long it would take. I think it took me about a year.The end result has been fantastic and looking at before photos, I can’t believe that I didn’t do it sooner. Thank you also to Angus’s assistant Alice. A great team:-)
I was referred to Angus by my own dentist, at my request, because I was looking for orthodontic treatment. I have always had “nice” teeth and my late husband stated that it was my smile that first attracted him to me! I was horrified when, following a couple of extractions, my teeth started to move and go crooked. I sought help at an early stage and Angus was so willing to listen to my concerns and proposed orthodontic treatment with the Spark aligners. I diligently carried out his instructions and am now absolutely delighted with the results! My treatment was shorter than I had anticipated and I am now equipped with a brilliant smile once more that I know my husband would have approved of! My job now is to maintain that smile, with the help of the permanent and removable retainers that Angus has provided to me, and I look forward to many happy, friendly smiles in the future.
Made to feel very at ease at every stage if treatment with a full explanation of the procedure and what to expect. At no point did I feel rushed and was treated extremely well by all at the Wessex clinic.I was referred through to Angus by Alistair, who has managed my previous treatments.I highly recommend Alistair, his nurse, Angus and Alice as well as Fiona and Donna whom I met recently for an emergency appointment.Great staff thank you.
I was very conscious of my front teeth that has for many years effected my confidence regarding my appearance.Wessex dentistry was recommended to me as the place to go.From the first consultation, Angus made me feel at ease and then I knew I was in good hands.My treatment was a long journey and Angus was very informative, every step of my journey.I would like to say thank you to Angus for his support and expertise with correcting my teeth that has given confidence to smile.I would highly recommend the Wessex dental practice to anyone who is considering orthodontics treatment.
I had braces from March 2023 to September 2024 with Dr Pringle. Overall I had a positive experience and was pleased with the professionalism, expertise and service I received. I would wholeheartedly recommend the treatment here. Thank you To Dr Pringle and Alice. Kasim Alam
My entire treatment with Angus was a positive one & I wouldn’t hesitate to recommend him. His friendliness & professionalism made the experience extremely easy & painless, I’m very happy with the result. Also a shout out for Alice his assistant who was never anything other than sunny & kind. Many, many thanks to you both.
I have recently completed my Spark aligner treatment aged 52 through Angus Pringle Orthodontics and wanted to share my experience. I’m absolutely delighted with the end result, and have lovely straight teeth and a confident smile! The whole end to end process took 14 months. The process is not painful at all, there is a little bit of pressure felt when you first put them in and when you change to a new set but you quickly get used to that. The service I received from Angus Pringle and Alice throughout was exceptional. He took time to explain how the Spark aligner product worked and what was really helpful was to see the computer generated imagery of the before and after. I would really encourage anyone exploring having their teeth straightened to choose Angus Pringle Orthodontics.
Angus and his nurse Alice were both so lovely and had such a nice way of talking to both myself and my daughter, Angus explained what he was doing at each stage and made my daughter feel very at ease right from the beginning. She is very happy with her beautiful new smile thank you both.
Went in for spark aligners to straighten my teeth and I felt looked after all throughout the process. Everything from the initial appointment to the finance department and then the check ups during the treatment. I'm very pleased with the end result and there wasn't one point where I didn't know what was happening or what I needed to do. Highly reccomend
There are several reasons why Angus is the dentists’ orthodontist. He is that unicorn within the profession who can communicate clearly, is empathetic and can move teeth where they need to be! His care and expertise is second to none. I am smiling as I write this; thank you Angus!
I have been going to Angus Pringle at the Wessex Dental Practice for just over 2 and a half years and I have been so impressed with the level of treatment and care I received during this time. Appointments were always punctual and Angus was excellent at guiding me through the braces process at every point, even if I had questions in between appointments. I have recently just had my braces off and it has transformed my smile; I am so happy with the results.If you are currently considering getting braces, Angus is knowledgeable, informative and provides excellent results and I strongly recommend picking him as your orthodontist.
Thank you Angus and Alice for the past year. Having been self conscious about my smile for many many years I'm glad I plucked up the courage to go for a consultation. I went for fixed braces because I knew it would be easier for me and I'm glad I did. It was so easy and fast! My smile is now so much better than I could have ever imagined and all thanks to you both. Highly recommend!
Angus has been fantastic throughout the whole process. He always informed me of all the stages involved and was extremely helpful when I had any questions.Personally I’m over the moon with the results.Thank you again Angus!
Angus has genuinely changed my life for the better! My teeth were very crossed over at the bottom, and I had a huge gap in my front teeth, which were also sat so much lower than all my other top teeth. Angus gave me the options of clear aligners or braces, and I chose aligners - he explained every single stage holistically, provided constant support and lots of check ups so that I was comfortable every step of the journey. I started my aligners in November 2022 and in less than a year, all my teeth are straight, my smile is exactly how I want it to be and my confidence has sky rocketed! I never realised what an effect my teeth had on me and Angus has been an absolute star, I cannot thank him enough.
My experience with Angus has been great. He explained every step thoroughly at my regular appointments and made the whole process effortless. I’m very happy with the result and would recommend anyone looking at Orthodontics to visit Angus.
After being extremely self conscious of my teeth for years but also terrified of the dentist I decided i want to make a change, I remembered the Wessex Dental Surgery from a few years ago when I had to have a wisdom tooth removed in which I had received such wonderful treatment so I decided to make an appointment to see if I could face my fears and finally try and get the smile I wanted. After seeing Fiona for my initial appointment she made me feel so relaxed and wrote a plan of exactly what i needed to do, all of the dental treatment I had with Fiona was a breeze and I couldn't believe I had spent so many years in fear. I was then referred to Angus for Invisalign and all I can say is he has changed my life, after 7 short months I am no longer self conscious to smile, I am so proud of my teeth in which I never thought I would say. Angus knew exactly what it was I wanted and supported me fully on my Invisalign journey and I am so thankful for him and his team.The Wessex Dental team as a whole are amazing and I won't be going anywhere else in future.
I had always disliked my smile as I had very uneven teeth, it’s something I’d been conscious of for years. At the age of 43 I decided it was finally time to do something about it now that the techniques for teeth straightening are far more advanced than in my youth! I didn’t want a mouth full of metal though and, having researched Invisalign, I decided this was the treatment for me. Luckily I already knew Angus Pringle and on looking at his orthodontic website it was clear how many happy customers he already had. The treatment was superb from start to finish, everything explained clearly, no pain at all, and I can’t believe in only 7 short months my teeth are so nice and straight yet still look really natural. I am so happy with the result and now can’t stop smiling! Definitely highly recommend if you have any orthodontic work to be done you look up Angus Pringle, you won’t be disappointed!
I had to have a lower front tooth removed meaning had a very visible gap. Angus was recommended by my dentist, Fiona, also at the Wessex, who proposed Invisalign. After just 10 months, the gap is no longer there, and as a bonus, my buckled top front teeth have been straightened. Angus always explained the process steps along the way and that it was a shared effort by both parties. I kept them in place for the prescribed time, only removing them to eat. I’m really pleased with the outcome and grateful to Angus.
I am so very happy with the results following my orthodontic journey. Angus Pringle was so very clear with all the information required and always listened to all my concerns and questions. I decided to have clear aligners and definitely was not disappointed, so comfortable to wear and no pain at all. Carla his nurse is amazing at her job and so very gentle...I would definitely recommend them both. I love my new smile, has made me so much more confident when I speak to people. Thank you to all at The Wessex Dental Specialist Centre.
A year ago I filled in an online consultation to enquire about straightening my teeth, it was the best decision! I no longer feel self conscious about my smile and am delighted with the finished result.Angus really explained the process very clearly from beginning to end and constantly offered support if I was to experience any problems, Thank you so much!!
Before this treatment I had the perfect smile for wearing a mask 😔 Angus was recommended by my Step Daughter who had experienced great results. I’ve never been overly confident when it comes to my smile, the work Angus has done has been nothing short of amazing. I’m not totally there yet with my smile but now the treatment has finished I am in a better place to gain the confidence I’ve never had. This is by no means a cheap thing to do but it is worth every penny, they offer great affordable finance packs.The service has been fantastic, nothing is too much trouble.Thank you Angus.
I have just completed my invisalign treatment and I am very happy with the result. I wanted to straighten my teeth but mostly improve my bite. I was recommended the Wessex Specialist Centre by my usual dentist and they were amazing. They provided me with clear advice and information all the way through the treatment and were always happy to answer any of my questions. My only regret is that I didn’t do it sooner
I have just completed Invisalign teeth straightening with Angus Pringle at The Wessex Dental Specialist Centre.As a dentist myself, I knew how important it was to find the right clinician to carry out the treatment. I have been so impressed with Angus’s professionalism and attention to detail.The receptionists and nurses have also been helpful and welcoming at every appointment.I am absolutely delighted with my new smile! My teeth are beautifully aligned now and the food trapping that I was experiencing due to crowded teeth has resolved.Thank you Angus and the team at The Wessex.
I opted for my Invisalign treatment at Wessex Dental largely because of the skills and professionalism of the team. I was given honest, transparent and helpful advice throughout my treatment. I am very pleased with the results and have recommended Angus and the team to lots of people. I’ll be going back to the practice for further orthodontic work. Great service all - thank you so much!
Angus and Carla are amazing in everything they do, they bounce off each other but also remain professional! If you're looking for the best of the best in Orthodontics, come and see them!
From the beginning to the end of my orthodontic treatment I felt; confident, informed and well looked after. Angus is efficient yet very thorough. My concerns regarding the appearance of my teeth decreased as I progressed through my aligning trays which are easy to adapt too around a busy life.If I had any questions during my treatment Angus always replied quickly explaining everything so clearly. Angus and his Nurse Carla always welcomed me with a smile. I would recommend Angus to anyone considering straightening their smile!Thank you Angus at the Wessex.
Having been bothered by my teeth for years, in 2017 I finally started the long process to treat them! Oasis Wessex have been amazing from the very beginning, always explaining everything fully to me so I was able to make my own informed choices about my treatment. When my Invisalign did not work as hoped, I was switched to fixed braces at no extra charge and after a total of almost 3 years (had really bad teeth!), I finally got the smile I’ve always wanted!Angus took over my treatment mid-way and has been amazing! I was very nervous when the time came to finally take the braces off and I was dreading the removal but Angus was really patient and explained everything each step of the way, reassuring me it was ok if I needed to stop and take a break and spreading the removal over 2 visits so it wasn’t too much in one go for me! If you’re a nervous patient, I highly recommend Angus!
Angus was brilliant! I didn't think there was too much to change with my teeth it was just on my lower row there was one pushed back that I wanted sorted but looking back at older photos compared to now my top teeth have changed so much too! I chose Wessex because a friend recommended it to me and told me how easy Invisalign was, during treatment Angus was very good, explained everything in an easy manner and listened to what I wanted.Benefits: easy to to fit, makes you think more about meals as you can't snack, you can hardly see them when they're onCons: this one didn't bother me but you have to take them out if you like hot drinks, the 1st week of taking them in and out was a bit painful but the 2nd week onwards it didn't hurt at all, it can take longer than predicted, some teeth are stubborn.If you're thinking about it definitely get a consultation to see how much your teeth will change, I was surprised to see how jumbled my back ones were.Abbie
I attended a few dentist/orthodontic consultations for Invisalign treatment before visiting Angus, however, as soon as I met Angus I knew I had to use Angus Pringle Orthodontics for my treatment as he was so calming and attentive and I felt I could ask him any and every question. I booked my treatment the next day! I was concerned with my narrow smile where my teeth tilted inwards, not only has Angus corrected the aesthetics to create a wider smile he was also very attentive to my bite. I am so so pleased with my results and felt that Angus really listened to all my concerns, however big or small. Nothing felt like too much trouble and I was able to complete several rounds of refinements to ensure I was 100% happy. He kept me updated with my progress showing me the plans of my treatment along my journey which is helpful to ensure you know what to expect. I honestly could not recommend Angus highly enough and have already recommended him to any friends or family considering treatment! If anyone is considering Invisalign I would not look elsewhere!
I decided that I wanted to have Invisalign for a crooked canine tooth & general alignment.I did a lot of research and even paid another nearby clinic for a consultation.I chose Angus Pringle because his manner was kind ( I’m a nervous patient) he was patient, professional and put no pressure on me to proceed.My teeth are now straight and the process has been so easy.The service and treatment at his practice has been perfect. All staff are friendly and the practice has a calm feel about it.My confidence has been boosted and I would advice anyone thinking of Invisalign to go for it and to see Angus.
My 15 yr old daughter required her top and bottom teeth straightening. She had received Orthodontic treatment for 2 1/2 years from another practice, but due to the terrible service (admin/logistics and terrible dental chair manner) of the previous practice we decided to try The Wessex Dental group to see if they would finish her treatment plan.Angus and his assistant were amazing with my daughter. Angus explained every action/treatment thoroughly with us both and always set time aside for questions. He empowered my daughter to help herself in the final steps of treatment.He has such a great dental chair manner and is clearly very passionate about orthodontics.They made her feel at ease and she understood all the treatment and more importantly, the importance of her dental/braces care at home.A friend had highly recommended The Wessex Dental Practice to us and I can now highly recommended them also. Angus is great with younger patients, so would highly recommend him if you are looking for a orthodontist for your child/teenager.
Angus is a 1st class orthodontic specialist who’s done an amazing job on my smile, made it even more perfect!!! Loved the Invisalign experience from start to finish. Thank you Angus, Vicky and Claire 10/10 you truly deserve the recognition.
I am so pleased with my Invisalign results, my teeth are perfect! Appointments were easy and Angus always kept me upto date with my progress, the process was seamless even during Covid times! I am so glad I decided to invest in my smile and highly recommend to anyone thinking of having treatment! Thank you Angus!!
After getting engaged I finally made the decision to look into Invisalign. I hated my teeth and just wanted to be happy with my smile, especially for the wedding photos. I did some research and emailed a few different places, reviews played a huge part in who I reached out to, so make sure to research the practice (and dentist). Soon after I had my first (free) consultation with Angus, who put me at ease and talked me through my options and treatment plans. I decided to go ahead and am so glad I did. I’m thrilled with the results and really can’t fault the service I have received, and I highly recommend Angus. Even with covid making things difficult and delaying the start of my treatment I have still managed to complete my treatment plan within the time frame I was aiming for, and have been able to have appointments in person at the practice, when needed, and using the online consultation link to keep Angus updated with my progress (this can be used to discuss any issues too). It’s been a year from the start of treatment to the finish, so you really need to plan ahead if you’re considering treatment for a specific time sensitive reason.
Adult orthodontic treatment can improve both tooth alignment and bite function — and it’s often far more straightforward than many people expect. At Angus Pringle Orthodontics, adults in Fareham receive specialist-led orthodontic care planned around comfort, appearance and long-term stability.
Treatment is provided by Dr Angus Pringle, a UK-registered Specialist Orthodontist in Fareham. The practice is limited exclusively to orthodontics, meaning every plan is based on what is clinically right for you — not a one-size-fits-all approach.
If you’d like more information before attending the clinic, you can start with a free online consultation.
Is orthodontic treatment suitable for adults?
Yes. Orthodontic treatment is suitable for many adults, regardless of age, provided teeth and gums are healthy. Some adults want to straighten teeth they’ve always felt self-conscious about. Others want to improve bite comfort, reduce uneven wear, or correct relapse after braces earlier in life.
A specialist orthodontic assessment helps clarify what’s possible, what’s appropriate, and what will remain stable long-term.
How adults choose between aligners and braces
Most adults have more than one suitable option. The right choice depends on your teeth, your bite, the complexity of movement required, and how discreet you’d like treatment to be. During consultation, your bite is assessed carefully — not just tooth alignment — so the plan supports long-term function as well as appearance.
Orthodontic treatment options for adults
Clear aligners for adults
Clear aligners are popular with adults who want a discreet option. Invisalign® and Spark aligners use a series of clear, removable aligners to gradually straighten teeth. Aligners can be an excellent option when the case is suitable and the plan is carefully staged — including attention to bite function, not just tooth position.
Fixed braces remain one of the most effective ways to achieve precise tooth movement and bite correction, particularly for more complex cases. Treatment may include modern systems such as Damon braces, designed to deliver efficient, predictable results with improved comfort.
Adult orthodontic treatment involves regular review appointments to monitor progress and make adjustments where needed. Treatment length varies, but many adults complete treatment within 12–24 months. Some cases are shorter; some require longer planning for best stability.
Throughout treatment, you’ll receive clear explanations so you understand what’s happening, what comes next, and how to get the best result.
Why choose a specialist orthodontist?
Specialist orthodontists complete several additional years of postgraduate training focused exclusively on orthodontics. This supports accurate diagnosis, careful bite planning and management of complex cases, with an emphasis on stability and long-term oral health.
At Angus Pringle Orthodontics, adult orthodontic treatment is planned and delivered by a specialist orthodontist, ensuring recommendations are based on clinical need rather than convenience.
Many adults travel for specialist orthodontic care — view the areas we cover.
Retainers after adult orthodontic treatment
Once treatment is complete, retainers are essential to maintain the result. Long-term stability is a key part of orthodontic care. Find out more about retainers.
Adult orthodontics FAQs
Is adult orthodontic treatment painful?
Some temporary discomfort is normal when aligners are changed or braces are adjusted, but this usually settles quickly. Most adults adapt well, and comfort is considered throughout the plan.
How long does adult orthodontic treatment take?
Treatment length depends on complexity. Many adults complete treatment within 12–24 months, although some cases can be shorter or longer.
Can orthodontic treatment improve bite problems?
Yes. Orthodontic treatment can improve both alignment and bite function, supporting comfort, stability and long-term dental health.
How do patients decide between aligners and braces?
A consultation allows for a detailed assessment of teeth and bite, followed by clear advice on which option is most suitable clinically — and what fits best with lifestyle.
Specialist adult orthodontic care
Orthodontic treatment for adults often requires detailed diagnosis, careful planning and close collaboration with your general dentist. Treatment goals may include improving alignment, correcting bite relationships or preparing for restorative work.
Angus is a Specialist Orthodontist and member of the British Orthodontic Society, providing adult orthodontic treatment aligned with nationally recognised standards of care. For independent, evidence-based guidance, you can access the official British Orthodontic Society patient information leaflets here:
If you’re considering orthodontic treatment as an adult and want to understand your options, you can begin with a free online consultation and we’ll guide you from there.
If you have questions about orthodontic treatment, you may find helpful answers on our orthodontic FAQs page.
Adult Fixed Braces – Teeth Sticking Out Before & After
BEFORE
AFTER
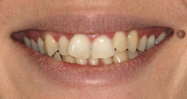
Adult Invisalign – Crooked Lower Front Teeth Before & After
BEFORE
AFTER
Adult Fixed Braces – Crowded Teeth Before & After
BEFORE
AFTER
Adult Invisalign – Underbite Before & After
BEFORE
AFTER
Adult Fixed Braces – Spacing and Overbite Before & After
BEFORE
AFTER
Adult Invisalign – Crooked Teeth Before & After
BEFORE
AFTER
Adult Invisalign – Narrow Smile Before & After
BEFORE
AFTER
Adult Invisalign – Crooked Teeth Before & After
BEFORE
AFTER
Adult Invisalign – Crossbite Before & After
BEFORE
AFTER
Adult Invisalign – Crowded Teeth Before & After
BEFORE
AFTER
Adult Clear Aligners – Crowded Teeth and Crossbite Before & After
BEFORE
AFTER
Adult Clear Aligners – Lower Incisor Crowding Before & After
BEFORE
AFTER
Adult Invisalign – Narrow Smile & Crowding Correction Before & After
BEFORE
AFTER
Adult Clear Aligners – Crowding and Overbite Before & After
BEFORE
AFTER
Adult Fixed Braces – Overbite Correction Before & After
BEFORE
AFTER
Adult Clear Aligners – Crowding and Crossbite Before & After
BEFORE
AFTER
Adult Clear Aligners – Crooked Teeth and Open Bite Before & After
BEFORE
AFTER
Adult Fixed Braces – Severe Crowding Treated with Premolar Extractions Before & After
BEFORE
AFTER
Adult Invisalign – Closing a Front Tooth Gap (Diastema) Before & After
BEFORE
AFTER
Adult Invisalign - Crooked teeth and Composite Bonding Before & After
BEFORE
AFTER
Adult Invisalign – Crowding and Open Bite Improvement Before & After
BEFORE
AFTER
Adult Invisalign – Correcting Teeth Tipped Forward and Back Before & After
BEFORE
AFTER
Adult Fixed Braces - Crowding and Narrow Smile Correction Before & After
BEFORE
AFTER
Adult Fixed Braces – Underbite Correction Before & After
BEFORE
AFTER
Adult Invisalign – Crowding Correction Before & After
BEFORE
AFTER
Adult Fixed Braces – Avoiding Jaw Surgery Before & After
BEFORE
AFTER
Adult Invisalign – Moderate Crowding Correction Before & After
BEFORE
AFTER
Adult Invisalign – Closing a Front Tooth Gap and Straightening Crooked Teeth Before & After
BEFORE
AFTER
Adult Invisalign – Correcting Twisted Front Teeth Before & After
BEFORE
AFTER
Adult Invisalign – Improving Smile Balance and Alignment Before & After
BEFORE
AFTER
Adult Invisalign – Correcting Crossed Teeth for a Musician - Before & After
BEFORE
AFTER
Adult Invisalign – Correcting Protruding Lateral Incisors Before Wedding - Before & After
BEFORE
AFTER
Adult Invisalign – Correcting Uneven Front Teeth and Bite Difficulty - Before & After
"I chose the practice after reading all the excellent reviews. I am really pleased with my smile now as I now have perfectly straight teeth, the service I received couldn't have been better along with the excellent advice and treatment I received. I would highly recommend having orthodontic treatment, and would recommend Angus Pringle for his advice, treatment and perfect end results."
Samantha, treated with Invisalign®
"Very satisfied with the end result- even better than I imagined. I felt in very good hands with Angus, who structured my plan around what I wanted and thoroughly discussed all options with me. I would happily highly recommend Angus as a trustworthy patient centred dentist who delivers an excellent standard of care. Having braces is not as bad as you think it would be! And it's well worth doing - don't put it off, just get started!"
Emma, treated with Invisalign®
“Overall the treatment was quick and the service was great. I am extremely pleased with the outcome and surprised at how well Invisalign® worked. Go for it! I have already recommended a few people to try Invisalign®.”
Mia, treated with Invisalign®
“I feel really happy with my smile. The service I have received was very good as each stage was explained very clearly. I am much happier with my smile. It is worthwhile if you want a perfect smile!”
Daniel, treated with Invisalign®
“Very happy, couldn’t ask for a better service. I smile more and feel more confident and less shy. I wish I had it done years ago. Money well spent.”
Gillian, treated with Invisalign®
“The whole experience has been professional & friendly and the result is excellent. I Just feel more confident when smiling and talking to people.”
Victoria, treated with Invisalign®
“I had train track braces as a teenager and when my teeth crowded up again as an adult I wasn’t keen to have the same treatment to correct my smile. Invisalign® treatment was the answer: no-one at work noticed when I got them so I wasn’t self-conscious. I’m so happy with my teeth now, the result is amazing.”
Natalie, treated with Invisalign®
“I now have a very “cheesy grin” – over the moon with the final result. Fantastic service – Angus was brilliant throughout. My niece said “Aunty you’ve got great teeth! Go for it, you won’t regret it.”
Rebecca, treated with Invisalign®
“The service has been outstanding and I am really pleased with the results Fantastic! I would recommend it to anyone who has ever felt self-conscious about their teeth. Do it! It will change your life.”
Tracy, treated with Invisalign®
” Lovely friendly service and professional. My smile is now fantastic! Invisalign® is so easy and relatively pain free (compared to fixed braces), no hassle. Just go for it!”
Lars, treated with Invisalign®
” Great result. Exemplary service – “does what it says on the tin!” Have it done early – well worth the self-investment. Huge personal returns.”
Call Fareham to book your consultation 01329 226 470