I had a thoroughly positive experience with Angus. I am very happy with the results of my orthodontic treatment, and Angus was incredibly supportive and accessible throughout the entire process.
For once in my life, I love my smile and it’s all thanks to Angus. He was very professional and always listened to what I had to say. He gave me the best advice and it really paid off! I always get compliments on my “lovely smile” and I just can’t thank Angus enough!
Angus and Alice are a lovely team. They are both kind and welcoming, I always felt it was a safe place to be honest about my concerns and expectations. I’d highly recommend Angus for orthodontic treatment, he has extensive experience and is very empathic in his approach.
Fantastic from start to finish. I would highly recommend Angus and the team. Just completed my treatment, supported at every stage.Super friendly, everything throughly explained and able to ask any questions throughout the process.Thank you Angus & Alice 😁
I was directed to Angus after a truly awful experience with my previous orthodontist, who did not listen to mine and my mum's concerns and were terrible at communicating effectively and engaging with me as a patient. Angus understood my situation very quickly and was genuinely empathetic to the previous experience I had received. He put me at ease and asked me what I needed to ensure that the process was comfortable and as stress-free as possible. I'm also 17 and autistic, which makes my situation very different and unique to the standard patient's. At no point did he point this out and make me feel like a burden on him as a clinician. While this was a initial consultation, I am very impressed so far.
I am a 1966 baby and have just completed my Sparks aligner treatment with Angus. I was never too bothered that one side of my bottom row of teeth were woggely as you didn’t really see them when I smiled. However, I’m a bit of a teeth flosser and I found it difficult to properly clean these offending teeth. This and that I needed an implant next to these woggely teeth, made up my mind to get it done.Angus’ gift, is that he’s not only a technically skilled orthodontist but he also has a great bed side manner. He’s very good at explaining the process and putting you at ease. I liked that he was very honest about what to expect - the ups and downs and not over promising on how long it would take. I think it took me about a year.The end result has been fantastic and looking at before photos, I can’t believe that I didn’t do it sooner. Thank you also to Angus’s assistant Alice. A great team:-)
I was referred to Angus by my own dentist, at my request, because I was looking for orthodontic treatment. I have always had “nice” teeth and my late husband stated that it was my smile that first attracted him to me! I was horrified when, following a couple of extractions, my teeth started to move and go crooked. I sought help at an early stage and Angus was so willing to listen to my concerns and proposed orthodontic treatment with the Spark aligners. I diligently carried out his instructions and am now absolutely delighted with the results! My treatment was shorter than I had anticipated and I am now equipped with a brilliant smile once more that I know my husband would have approved of! My job now is to maintain that smile, with the help of the permanent and removable retainers that Angus has provided to me, and I look forward to many happy, friendly smiles in the future.
Made to feel very at ease at every stage if treatment with a full explanation of the procedure and what to expect. At no point did I feel rushed and was treated extremely well by all at the Wessex clinic.I was referred through to Angus by Alistair, who has managed my previous treatments.I highly recommend Alistair, his nurse, Angus and Alice as well as Fiona and Donna whom I met recently for an emergency appointment.Great staff thank you.
I was very conscious of my front teeth that has for many years effected my confidence regarding my appearance.Wessex dentistry was recommended to me as the place to go.From the first consultation, Angus made me feel at ease and then I knew I was in good hands.My treatment was a long journey and Angus was very informative, every step of my journey.I would like to say thank you to Angus for his support and expertise with correcting my teeth that has given confidence to smile.I would highly recommend the Wessex dental practice to anyone who is considering orthodontics treatment.
I had braces from March 2023 to September 2024 with Dr Pringle. Overall I had a positive experience and was pleased with the professionalism, expertise and service I received. I would wholeheartedly recommend the treatment here. Thank you To Dr Pringle and Alice. Kasim Alam
My entire treatment with Angus was a positive one & I wouldn’t hesitate to recommend him. His friendliness & professionalism made the experience extremely easy & painless, I’m very happy with the result. Also a shout out for Alice his assistant who was never anything other than sunny & kind. Many, many thanks to you both.
I have recently completed my Spark aligner treatment aged 52 through Angus Pringle Orthodontics and wanted to share my experience. I’m absolutely delighted with the end result, and have lovely straight teeth and a confident smile! The whole end to end process took 14 months. The process is not painful at all, there is a little bit of pressure felt when you first put them in and when you change to a new set but you quickly get used to that. The service I received from Angus Pringle and Alice throughout was exceptional. He took time to explain how the Spark aligner product worked and what was really helpful was to see the computer generated imagery of the before and after. I would really encourage anyone exploring having their teeth straightened to choose Angus Pringle Orthodontics.
Angus and his nurse Alice were both so lovely and had such a nice way of talking to both myself and my daughter, Angus explained what he was doing at each stage and made my daughter feel very at ease right from the beginning. She is very happy with her beautiful new smile thank you both.
Went in for spark aligners to straighten my teeth and I felt looked after all throughout the process. Everything from the initial appointment to the finance department and then the check ups during the treatment. I'm very pleased with the end result and there wasn't one point where I didn't know what was happening or what I needed to do. Highly reccomend
There are several reasons why Angus is the dentists’ orthodontist. He is that unicorn within the profession who can communicate clearly, is empathetic and can move teeth where they need to be! His care and expertise is second to none. I am smiling as I write this; thank you Angus!
I have been going to Angus Pringle at the Wessex Dental Practice for just over 2 and a half years and I have been so impressed with the level of treatment and care I received during this time. Appointments were always punctual and Angus was excellent at guiding me through the braces process at every point, even if I had questions in between appointments. I have recently just had my braces off and it has transformed my smile; I am so happy with the results.If you are currently considering getting braces, Angus is knowledgeable, informative and provides excellent results and I strongly recommend picking him as your orthodontist.
Thank you Angus and Alice for the past year. Having been self conscious about my smile for many many years I'm glad I plucked up the courage to go for a consultation. I went for fixed braces because I knew it would be easier for me and I'm glad I did. It was so easy and fast! My smile is now so much better than I could have ever imagined and all thanks to you both. Highly recommend!
Angus has been fantastic throughout the whole process. He always informed me of all the stages involved and was extremely helpful when I had any questions.Personally I’m over the moon with the results.Thank you again Angus!
Angus has genuinely changed my life for the better! My teeth were very crossed over at the bottom, and I had a huge gap in my front teeth, which were also sat so much lower than all my other top teeth. Angus gave me the options of clear aligners or braces, and I chose aligners - he explained every single stage holistically, provided constant support and lots of check ups so that I was comfortable every step of the journey. I started my aligners in November 2022 and in less than a year, all my teeth are straight, my smile is exactly how I want it to be and my confidence has sky rocketed! I never realised what an effect my teeth had on me and Angus has been an absolute star, I cannot thank him enough.
My experience with Angus has been great. He explained every step thoroughly at my regular appointments and made the whole process effortless. I’m very happy with the result and would recommend anyone looking at Orthodontics to visit Angus.
After being extremely self conscious of my teeth for years but also terrified of the dentist I decided i want to make a change, I remembered the Wessex Dental Surgery from a few years ago when I had to have a wisdom tooth removed in which I had received such wonderful treatment so I decided to make an appointment to see if I could face my fears and finally try and get the smile I wanted. After seeing Fiona for my initial appointment she made me feel so relaxed and wrote a plan of exactly what i needed to do, all of the dental treatment I had with Fiona was a breeze and I couldn't believe I had spent so many years in fear. I was then referred to Angus for Invisalign and all I can say is he has changed my life, after 7 short months I am no longer self conscious to smile, I am so proud of my teeth in which I never thought I would say. Angus knew exactly what it was I wanted and supported me fully on my Invisalign journey and I am so thankful for him and his team.The Wessex Dental team as a whole are amazing and I won't be going anywhere else in future.
I had always disliked my smile as I had very uneven teeth, it’s something I’d been conscious of for years. At the age of 43 I decided it was finally time to do something about it now that the techniques for teeth straightening are far more advanced than in my youth! I didn’t want a mouth full of metal though and, having researched Invisalign, I decided this was the treatment for me. Luckily I already knew Angus Pringle and on looking at his orthodontic website it was clear how many happy customers he already had. The treatment was superb from start to finish, everything explained clearly, no pain at all, and I can’t believe in only 7 short months my teeth are so nice and straight yet still look really natural. I am so happy with the result and now can’t stop smiling! Definitely highly recommend if you have any orthodontic work to be done you look up Angus Pringle, you won’t be disappointed!
I had to have a lower front tooth removed meaning had a very visible gap. Angus was recommended by my dentist, Fiona, also at the Wessex, who proposed Invisalign. After just 10 months, the gap is no longer there, and as a bonus, my buckled top front teeth have been straightened. Angus always explained the process steps along the way and that it was a shared effort by both parties. I kept them in place for the prescribed time, only removing them to eat. I’m really pleased with the outcome and grateful to Angus.
I am so very happy with the results following my orthodontic journey. Angus Pringle was so very clear with all the information required and always listened to all my concerns and questions. I decided to have clear aligners and definitely was not disappointed, so comfortable to wear and no pain at all. Carla his nurse is amazing at her job and so very gentle...I would definitely recommend them both. I love my new smile, has made me so much more confident when I speak to people. Thank you to all at The Wessex Dental Specialist Centre.
A year ago I filled in an online consultation to enquire about straightening my teeth, it was the best decision! I no longer feel self conscious about my smile and am delighted with the finished result.Angus really explained the process very clearly from beginning to end and constantly offered support if I was to experience any problems, Thank you so much!!
Before this treatment I had the perfect smile for wearing a mask 😔 Angus was recommended by my Step Daughter who had experienced great results. I’ve never been overly confident when it comes to my smile, the work Angus has done has been nothing short of amazing. I’m not totally there yet with my smile but now the treatment has finished I am in a better place to gain the confidence I’ve never had. This is by no means a cheap thing to do but it is worth every penny, they offer great affordable finance packs.The service has been fantastic, nothing is too much trouble.Thank you Angus.
I have just completed my invisalign treatment and I am very happy with the result. I wanted to straighten my teeth but mostly improve my bite. I was recommended the Wessex Specialist Centre by my usual dentist and they were amazing. They provided me with clear advice and information all the way through the treatment and were always happy to answer any of my questions. My only regret is that I didn’t do it sooner
I have just completed Invisalign teeth straightening with Angus Pringle at The Wessex Dental Specialist Centre.As a dentist myself, I knew how important it was to find the right clinician to carry out the treatment. I have been so impressed with Angus’s professionalism and attention to detail.The receptionists and nurses have also been helpful and welcoming at every appointment.I am absolutely delighted with my new smile! My teeth are beautifully aligned now and the food trapping that I was experiencing due to crowded teeth has resolved.Thank you Angus and the team at The Wessex.
I opted for my Invisalign treatment at Wessex Dental largely because of the skills and professionalism of the team. I was given honest, transparent and helpful advice throughout my treatment. I am very pleased with the results and have recommended Angus and the team to lots of people. I’ll be going back to the practice for further orthodontic work. Great service all - thank you so much!
Angus and Carla are amazing in everything they do, they bounce off each other but also remain professional! If you're looking for the best of the best in Orthodontics, come and see them!
From the beginning to the end of my orthodontic treatment I felt; confident, informed and well looked after. Angus is efficient yet very thorough. My concerns regarding the appearance of my teeth decreased as I progressed through my aligning trays which are easy to adapt too around a busy life.If I had any questions during my treatment Angus always replied quickly explaining everything so clearly. Angus and his Nurse Carla always welcomed me with a smile. I would recommend Angus to anyone considering straightening their smile!Thank you Angus at the Wessex.
Having been bothered by my teeth for years, in 2017 I finally started the long process to treat them! Oasis Wessex have been amazing from the very beginning, always explaining everything fully to me so I was able to make my own informed choices about my treatment. When my Invisalign did not work as hoped, I was switched to fixed braces at no extra charge and after a total of almost 3 years (had really bad teeth!), I finally got the smile I’ve always wanted!Angus took over my treatment mid-way and has been amazing! I was very nervous when the time came to finally take the braces off and I was dreading the removal but Angus was really patient and explained everything each step of the way, reassuring me it was ok if I needed to stop and take a break and spreading the removal over 2 visits so it wasn’t too much in one go for me! If you’re a nervous patient, I highly recommend Angus!
Angus was brilliant! I didn't think there was too much to change with my teeth it was just on my lower row there was one pushed back that I wanted sorted but looking back at older photos compared to now my top teeth have changed so much too! I chose Wessex because a friend recommended it to me and told me how easy Invisalign was, during treatment Angus was very good, explained everything in an easy manner and listened to what I wanted.Benefits: easy to to fit, makes you think more about meals as you can't snack, you can hardly see them when they're onCons: this one didn't bother me but you have to take them out if you like hot drinks, the 1st week of taking them in and out was a bit painful but the 2nd week onwards it didn't hurt at all, it can take longer than predicted, some teeth are stubborn.If you're thinking about it definitely get a consultation to see how much your teeth will change, I was surprised to see how jumbled my back ones were.Abbie
I attended a few dentist/orthodontic consultations for Invisalign treatment before visiting Angus, however, as soon as I met Angus I knew I had to use Angus Pringle Orthodontics for my treatment as he was so calming and attentive and I felt I could ask him any and every question. I booked my treatment the next day! I was concerned with my narrow smile where my teeth tilted inwards, not only has Angus corrected the aesthetics to create a wider smile he was also very attentive to my bite. I am so so pleased with my results and felt that Angus really listened to all my concerns, however big or small. Nothing felt like too much trouble and I was able to complete several rounds of refinements to ensure I was 100% happy. He kept me updated with my progress showing me the plans of my treatment along my journey which is helpful to ensure you know what to expect. I honestly could not recommend Angus highly enough and have already recommended him to any friends or family considering treatment! If anyone is considering Invisalign I would not look elsewhere!
I decided that I wanted to have Invisalign for a crooked canine tooth & general alignment.I did a lot of research and even paid another nearby clinic for a consultation.I chose Angus Pringle because his manner was kind ( I’m a nervous patient) he was patient, professional and put no pressure on me to proceed.My teeth are now straight and the process has been so easy.The service and treatment at his practice has been perfect. All staff are friendly and the practice has a calm feel about it.My confidence has been boosted and I would advice anyone thinking of Invisalign to go for it and to see Angus.
My 15 yr old daughter required her top and bottom teeth straightening. She had received Orthodontic treatment for 2 1/2 years from another practice, but due to the terrible service (admin/logistics and terrible dental chair manner) of the previous practice we decided to try The Wessex Dental group to see if they would finish her treatment plan.Angus and his assistant were amazing with my daughter. Angus explained every action/treatment thoroughly with us both and always set time aside for questions. He empowered my daughter to help herself in the final steps of treatment.He has such a great dental chair manner and is clearly very passionate about orthodontics.They made her feel at ease and she understood all the treatment and more importantly, the importance of her dental/braces care at home.A friend had highly recommended The Wessex Dental Practice to us and I can now highly recommended them also. Angus is great with younger patients, so would highly recommend him if you are looking for a orthodontist for your child/teenager.
Angus is a 1st class orthodontic specialist who’s done an amazing job on my smile, made it even more perfect!!! Loved the Invisalign experience from start to finish. Thank you Angus, Vicky and Claire 10/10 you truly deserve the recognition.
I am so pleased with my Invisalign results, my teeth are perfect! Appointments were easy and Angus always kept me upto date with my progress, the process was seamless even during Covid times! I am so glad I decided to invest in my smile and highly recommend to anyone thinking of having treatment! Thank you Angus!!
After getting engaged I finally made the decision to look into Invisalign. I hated my teeth and just wanted to be happy with my smile, especially for the wedding photos. I did some research and emailed a few different places, reviews played a huge part in who I reached out to, so make sure to research the practice (and dentist). Soon after I had my first (free) consultation with Angus, who put me at ease and talked me through my options and treatment plans. I decided to go ahead and am so glad I did. I’m thrilled with the results and really can’t fault the service I have received, and I highly recommend Angus. Even with covid making things difficult and delaying the start of my treatment I have still managed to complete my treatment plan within the time frame I was aiming for, and have been able to have appointments in person at the practice, when needed, and using the online consultation link to keep Angus updated with my progress (this can be used to discuss any issues too). It’s been a year from the start of treatment to the finish, so you really need to plan ahead if you’re considering treatment for a specific time sensitive reason.
Looking for fixed braces in Fareham and want something efficient, comfortable and easy to keep clean? Damon braces are a modern type of fixed brace designed to straighten teeth and improve bite relationships with a smoother, lower-friction system.
Damon braces are one of several fixed brace options offered at Angus Pringle Orthodontics. Treatment is planned and overseen by Angus Pringle, Specialist Orthodontist in Fareham, with a focus on accuracy, stability and results that last.
Damon braces are fixed braces where small brackets are bonded to the teeth and a high-tech, shape-memory wire guides the teeth into position. The key difference is the self-ligating design — the bracket holds the wire without the usual elastic ties, which can reduce friction and keep things feeling simpler and cleaner.
Watch: what patients say about Damon braces
How much do Damon braces cost?
Costs depend on the complexity of tooth movement and bite correction, and how long treatment is expected to take. Full costs are explained clearly before treatment starts. For more detail, see the cost page below.
What are Damon braces?
Damon braces are a type of fixed orthodontic brace that uses self-ligating brackets and a shape-memory wire to straighten teeth efficiently and comfortably, without elastic ties.
Are Damon braces more comfortable than traditional braces?
Many patients find Damon braces comfortable because the self-ligating design can reduce friction. Some pressure can occur after adjustments, but it usually settles quickly.
Are Damon braces noticeable?
Damon braces are available in metal and clear options. Damon Clear uses tooth-coloured brackets and is designed to be subtle.
How long does treatment with Damon braces take?
Treatment time varies depending on the complexity of the case, but many patients complete Damon brace treatment in around 12–24 months.
Are Damon braces suitable for adults and teenagers?
Yes. Damon braces are commonly used for teenagers and adults and can treat crowding, spacing and a wide range of bite problems.
Do I need to see a specialist orthodontist for Damon braces?
Fixed braces can be provided by dentists, but specialist orthodontic planning is particularly valuable where bite correction, complex tooth movement and long-term stability matter.
If you have questions about orthodontic treatment, you may find helpful answers on our
orthodontic FAQs page.
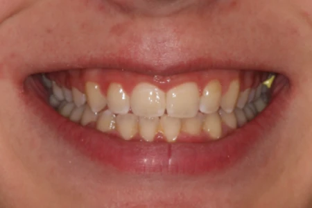
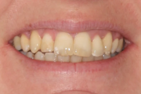
Adult Fixed Braces – Teeth Sticking Out Before & After
BEFORE
AFTER
Adult Fixed Braces – Crowded Teeth Before & After
BEFORE
AFTER
Adult Fixed Braces – Spacing and Overbite Before & After
BEFORE
AFTER
Teen Fixed Braces – Impacted Canines and Crooked Teeth Before & After
BEFORE
AFTER
Teen Fixed Braces – Severe Crowded Teeth and Open Bite Before & After
BEFORE
AFTER
Teen Fixed Braces – Narrow Smile Before & After
BEFORE
AFTER
Teen Functional Appliance and Fixed braces - teeth sticking out correction and Damon Braces Before & After
BEFORE
AFTER
Teen Fixed Braces – Crowded Teeth Before & After
BEFORE
AFTER
Teen Functional Appliance and Fixed Braces – Deep Bite Before & After
BEFORE
AFTER
Teen Fixed Braces – Crooked Teeth Before & After
BEFORE
AFTER
Teen Fixed Braces – Crooked Teeth Before & After
BEFORE
AFTER
Teen Fixed Braces – Narrow Smile and Prominent Canine Teeth Before & After
BEFORE
AFTER
Adult Fixed Braces – Overbite Correction Before & After
BEFORE
AFTER
Teen Fixed Braces – Impacted Canines and Crowded Teeth Before & After
BEFORE
AFTER
Teen Fixed Braces – Gaps Between Teeth Before & After
BEFORE
AFTER
Teen Fixed Braces – Impacted Canines, Overbite and Crooked Teeth - Before & After
BEFORE
AFTER
Teen Fixed Braces - Gaps between teeth, overbite and uneven teeth Before & After
BEFORE
AFTER
Teen Fixed Braces – Severe Crowding Treated with Premolar Extractions and Damon Braces Before & After
BEFORE
AFTER
Adult Fixed Braces – Severe Crowding Treated with Premolar Extractions Before & After
BEFORE
AFTER
Adult Fixed Braces - Crowding and Narrow Smile Correction Before & After
BEFORE
AFTER
Teen Functional Appliance and Fixed Braces – Teeth Sticking Out Before & After
BEFORE
AFTER
Adult Fixed Braces – Underbite Correction Before & After
BEFORE
AFTER
Teen Fixed Braces – Teeth sticking out and Deep Bite Correction Before & After
BEFORE
AFTER
Teen Fixed Braces - Deep bite and Crowded teeth Before & After
BEFORE
AFTER
Adult Fixed Braces – Avoiding Jaw Surgery Before & After
BEFORE
AFTER
Teen Fixed Braces – Aligning Front Teeth Before & After
BEFORE
AFTER
Teen Fixed Braces – Teeth tilted back Correction Before & After
”I love my smile now, I am more confident and don’t mind showing my teeth. The service was excellent and Angus always kept me informed about everything he was doing and why he was carrying out the treatment. Don’t wait (if you’re considering having brace treatment), to be able to smile with confidence is a feeling I cannot put into words, apart from “it’s amazing.“
Emily, Teen Damon Braces Patient, Hampshire
“Treatment and service was excellent, over 12 months there was very little discomfort and I am now very proud of the results and am amazed at how quickly the process was. DON’T hesitate just go for it!”
Jonty, Teen Damon Braces, Fareham
“Very pleased with the service and the results. Angus was friendly and not condescending.”
Emily, Teen Damon Braces Patient, Hampshire
“Amazing! Excellent service and treatment which has been a pleasant experience. I can smile confidently knowing my teeth are no longer crooked. I doesn’t hurt as much as you think it will. Dr Pringle is very good because he explains everything therefore you know what's happening.”
Jonathan, Adult Damon Braces Patient, Fareham
“I have been very pleased with the service and professional & friendly way I have been looked after. I wish I had done this years ago.”
Louise, Adult Damon Braces Patient, Hampshire
“I saw the results of your patients after seeing you and commenting on your work. I love my smile now and it is exactly how I wanted them to be after speaking to you. Great service. It is well worth it, the outcome is better than I imagined.”
Alex, Teen Damon Braces Patient, Fareham
“Feel much happier about my teeth/smile. Achieved what I wanted. First rate treatment, very thorough and clear explanations of process and what to expect. Go for it! May seem a bite difficult when you are in the middle of it but the reality its really only a short space of time in the big scheme of things. All done, and a great result much faster than you think.”
Kim, Adult Damon Braces Patient, Hampshire
“ I was extremely happy with the results I saw when the braces were removed. I was happy with the amount of care and attention Angus put into getting my teeth just right. It can be a long journey but its worth it for the results at the end.”
Call Fareham to book your consultation 01329 226 470