Google Rating
5.0
Google Rating
adult patient before spark aligner treatment for crooked teeth and narrow dental arch in fareham

Before

adult patient after spark aligner orthodontic treatment correcting crooked teeth and narrow arch

After

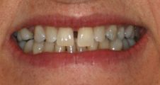
crooked teeth and narrow dental arch before spark aligner orthodontic treatment

Before

straightened teeth after spark aligner orthodontic treatment for crooked teeth

After

Adult Clear Aligners – Crowded Teeth and Crossbite Before & After

Adult Clear Aligners – Crowded Teeth and Crossbite Before & After Crowding and…

LEARN MORE
adult patient before spark aligners treatment with narrow smile and crooked lower teeth in fareham

Before

adult patient after spark aligners treatment improving smile width and alignment in fareham

After

crooked lower teeth and narrow smile before spark aligner treatment in adult patient fareham

Before

adult patient after spark aligners treatment correcting crooked lower teeth and narrow smile in fareham

After

Adult Clear Aligners – Lower Incisor Crowding Before & After

Adult Invisalign – Lower Incisor Crowding Before & After Crowded Lower Teeth and…

LEARN MORE
Before Invisalign treatment – adult patient with narrow smile and upper crowding in Fareham

Before

After Invisalign treatment – adult patient with straighter teeth and a broader, more balanced smile in fareham

After

Before Invisalign treatment – adult patient with narrow smile and crooked teeth in fareham

Before

After Invisalign treatment - broader smile and straight teeth in fareham

After

Adult Invisalign – Narrow Smile & Crowding Correction Before & After

Specialist Orthodontic Treatment to Widen the Smile and Improve Alignment Following a comprehensive…

LEARN MORE
adult patient before spark aligners treatment for crooked teeth and worn down teeth in fareham

Before

adult patient after spark aligners treatment and composite bonding restoring worn teeth in fareham

After

crooked and worn teeth before spark aligners orthodontic treatment in adult patient fareham

Before

adult patient after spark aligners treatment and composite bonding restoring worn teeth in fareham

After

Adult Clear Aligners – Crowding and Overbite Before & After

Adult Clear Aligners – Crowding and Overbite Before & After Tooth Alignment and…

LEARN MORE
teenage patient before damon braces treatment with class II division 2 bite and increased overjet in fareham

Before

teenage patient after orthodontic treatment correcting overjet and bite with damon braces in fareham

After

class II division 2 malocclusion with increased overjet before orthodontic treatment in teenage patient fareham

Before

teenage patient after damon braces treatment correcting class II bite and overjet in fareham

After

Adult Fixed Braces – Overbite Correction Before & After

Adult Fixed Braces – Increased Overjet Before & After Overjet Corrected with Premolar…

LEARN MORE

Get in touch

instagram