Google Rating
5.0
Google Rating
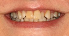
adult patient before spark aligners treatment with open bite crossbite and moderate crowding in fareham

Before

adult patient after spark aligners treatment correcting open bite and crossbite in fareham

After

open bite crossbite and crowded teeth before spark aligner treatment in adult patient fareham

Before

adult patient after spark aligners treatment correcting open bite crossbite and crowding in fareham

After

Adult Clear Aligners – Crowding and Crossbite Before & After

Adult Clear Aligners – Crowding and Crossbite Before & After Crowding, Narrow Smile…

LEARN MORE
adult patient before spark aligners treatment with crooked teeth and prominent canines in fareham

Before

After - Angus Pringle Orthodontics

After

crooked upper and lower teeth with prominent canines before spark aligner treatment in adult patient fareham

Before

adult patient after spark aligners treatment correcting crooked upper and lower teeth in fareham

After

Adult Clear Aligners – Crooked Teeth and Open Bite Before & After

Adult Clear Aligners – Crooked Teeth and Open Bite Open Bite and Tooth…

LEARN MORE
adult patient before damon braces treatment for severe crowding requiring extractions in fareham

Before

adult patient after damon braces treatment correcting severe crowding in fareham

After

severely crowded teeth before orthodontic treatment requiring extractions in adult patient fareham

Before

adult patient after damon braces treatment correcting severe crowding following extractions in fareham

After

Adult Fixed Braces – Severe Crowding Treated with Premolar Extractions Before & After

Adult Fixed Braces – Severe Crowding Treated with Premolar Extractions Severe Crowding Corrected…

LEARN MORE
Before Invisalign treatment – adult male with front tooth gap (diastema) in Fareham

Before

After Invisalign treatment – adult male with closed front tooth gap in Fareham

After

Before Invisalign – upper front tooth diastema

Before

After Invisalign – diastema closed and improved alignment

After

Adult Invisalign – Closing a Front Tooth Gap (Diastema) Before & After

Specialist Invisalign Treatment for Closing a Diastema Jordan, an adult patient from Fareham,…

LEARN MORE
Before Invisalign – adult male with crooked teeth and uneven smile

Before

After Invisalign and composite bonding – balanced and refined smile

After

Before Invisalign – crowded and misaligned front teeth

Before

After Invisalign and composite bonding – aligned teeth with refined tooth shape

After

Adult Invisalign – Crooked teeth and Composite Bonding Before & After

Specialist Orthodontic Treatment Combined with Cosmetic Finishing Roman came to see us as…

LEARN MORE

Get in touch

instagram